親知らずの抜歯

048-467-7651

キービジュアル

歯茎
まっている
対応

CTによる精密な診断で、
短時間安全に治療します。

親知らずの抜歯を安心・安全に

「親知らずが痛むけれど抜くのが怖い」「埋まっていると言われて不安」。そんなお悩みを抱える患者さんは少なくありません。当院では親知らずの抜歯に対する不安を解消するため、安心して治療を受けていただけるよう努めています。

親知らずの抜歯は、その状態によって難易度が大きく異なります。特に、歯ぐきの中に埋まっている埋伏歯(まいふくし)は、通常よりも時間と技術が必要です。経験豊富な歯科医師が、痛みを最小限に抑えつつ、安全かつ短時間で処置を実施します。

親知らずを抜歯すべきか、それとも残すべきか?

親知らずを抜くかどうかの判断基準は、その生え方です。基本的には、まっすぐ生えていない親知らずに関しては、抜歯をおすすめしています。他の歯に悪影響を与えることや、適切に磨けず虫歯になるリスクがあるためです。

しかし、次のようなケースでは抜歯が必ずしも必要ではありません。「親知らずが真っ直ぐ生えていて噛み合わせが正常である場合」や「完全に埋没している場合」などです。
また、将来的に別の歯を抜いた際、親知らずを移植できる可能性も考慮されます。親知らず治療もリスクがゼロではないため、無理に抜歯を勧めることはありません。

当院はセカンドオピニオンにも対応しております。患者さんの意思を尊重しつつ、専門家として最善のアドバイスとサポートを提供いたします。

親知らずを抜歯するメリット/デメリット

親知らずの抜歯について考える際、以下のようなメリットとデメリットがあります。

メリット

  • ・虫歯や歯周病のリスクが低減される
  • ・口臭の抑制に役立つ

デメリット

  • ・術後に痛みや腫れが生じる可能性がある
  • ・ごく稀に、舌や唇に麻痺が残る
抜歯によるデメリットは、多くの場合、術後1週間程度で収まります。総合的に考えると、親知らずを抜かない場合の潜在的なデメリットが大きいと考えられます。しかし、抜歯が必要ないケースも存在しますので、まずは歯科医師としっかり相談して、慎重に判断することが重要です。

当院の親知らず治療が患者さんに選ばれる理由

親知らずの治療は、医院によって差があります。技術力や経験だけでなく、患者さんの負担を減らし、術後のリスクを少なくするための設備も重要です。

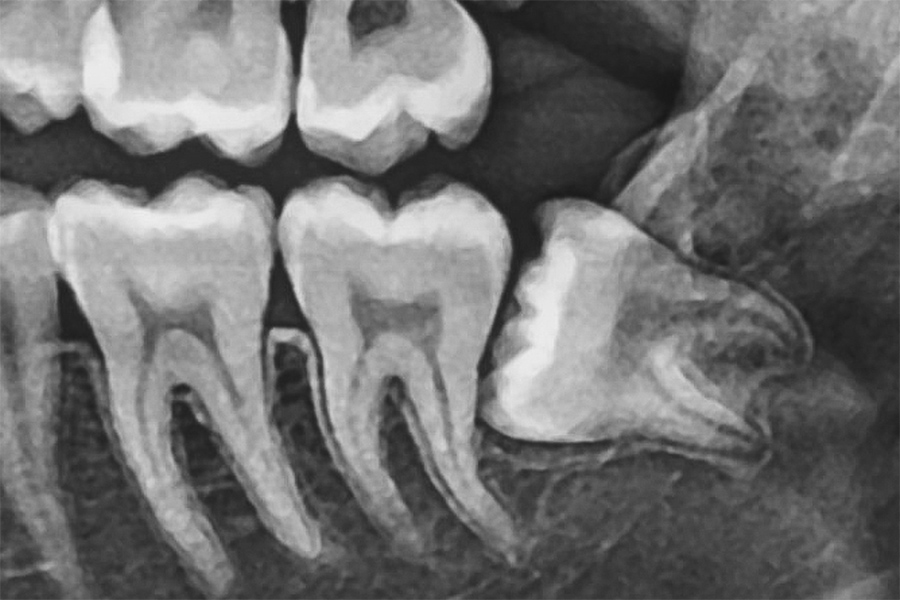
水平埋伏歯の治療について

水平埋伏歯とは、歯茎の中で横向きに生えてしまった歯のことです。これにより、手前の歯を圧迫して痛みや歯並びの乱れを引き起こし、さらに虫歯歯周病の原因にもなります。

このような歯は骨や神経に近い位置にあるため、抜歯には高度な技術が求められます。当院では、精密な診断と高い技術力で、難しいケースの抜歯にも対応しています。他院で治療を断られた場合も、安心してご相談ください。

「CT装置」による精密診断

親知らずの生え方によって、処置が易しいケースから難症例まで様々です。血管や神経を傷つける恐れのある難症例では、事前に精密な診断を行う必要があります。そのため当院では、「CT装置」を使って正確に顎の状態を分析しています。

CT装置とは、コンピューター処理で画像を立体的に表現する特殊な装置です。血管や神経だけでなく、歯の埋没位置も正確に割り出せるため、歯茎の切開を最小限にとどめることが可能です。

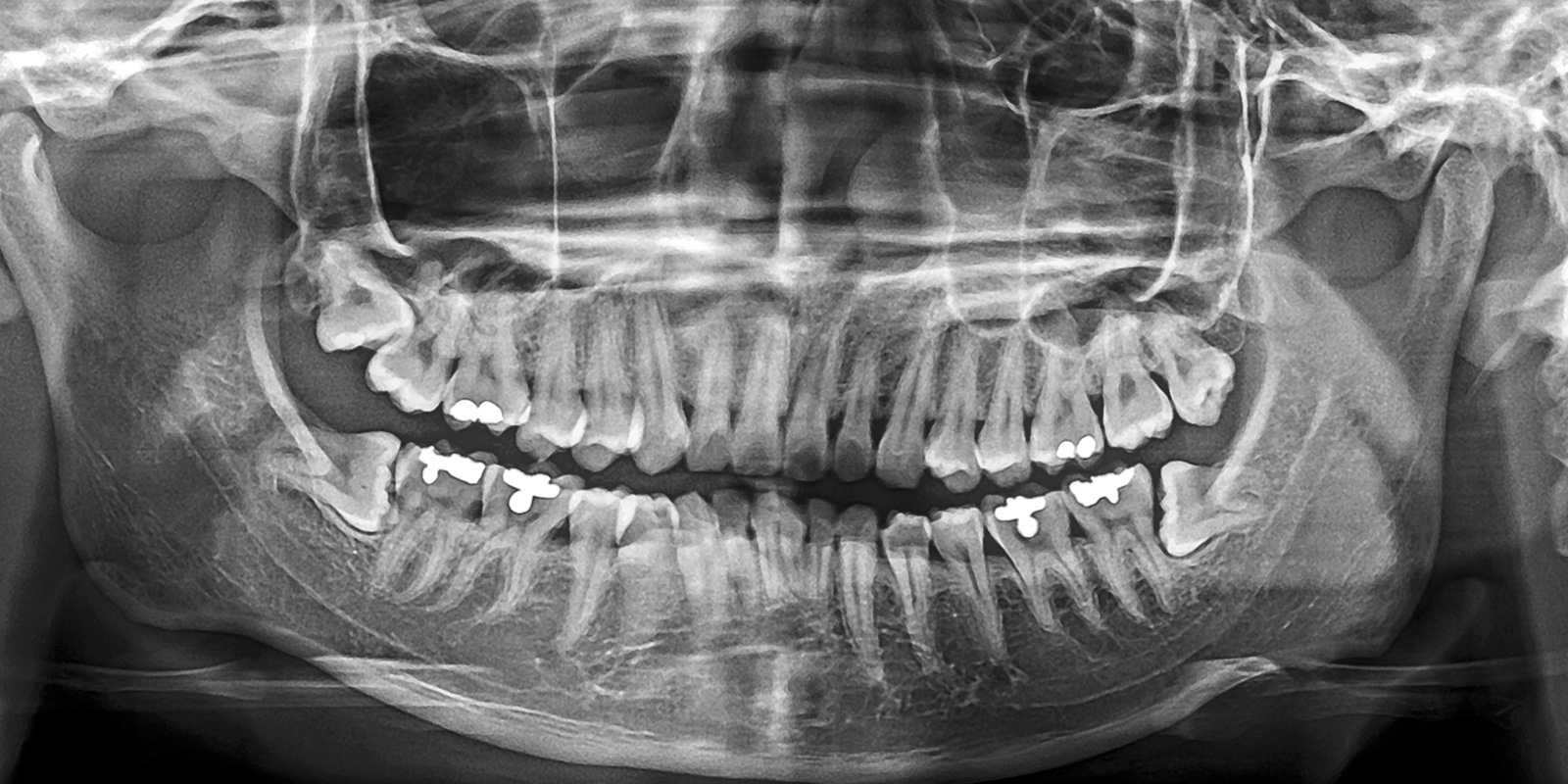
パノラマレントゲン

パノラマレントゲンは、お口全体を1枚の画像で撮影できる広範囲のレントゲン技術です。これにより、親知らずの位置や向き、周囲の歯との関係が一目で把握できます。

特に下あごの親知らずについては、下歯槽神経という重要な神経の近くに位置することが多いため、抜歯による神経損傷のリスク評価が非常に重要です。このパノラマ撮影を用いることで、神経との距離や重なり具合を事前に確認することが可能です。

ピエゾサージェリー

当院では、外科処置が必要な場面でピエゾサージェリーという機器を使用しています。これは超音波の力を用いて、骨などの硬い組織だけを切削するため、歯肉や血管といった柔らかい組織を傷つけずに安全に処置を行うことができます。さらに、身体に優しいため、治療後の回復も早まることが期待されます。

テルプラグによる抜歯後の治療

当院では、抜歯後の治癒をサポートするためにコラーゲンを主成分としたスポンジ状の素材であるテルプラグを使用しています。テルプラグは、抜歯後の穴(抜歯窩)にやさしく詰めることで、傷の自然な治りを促進します。

テルプラグを使用することで、出血を抑え、血液がしっかりとどまりやすくなるため、治癒がスムーズに進みます。また、抜歯後の痛みや出血を軽減する効果も期待できます。

静脈内鎮静法

抜歯に対して恐怖を感じる患者さんには、静脈内鎮静法を用意しています。この方法では、鎮静作用のある薬を使用し、リラックスした状態で施術を受けていただけます。施術中は麻酔医が全身をしっかりと管理します。

術後には、薬の効果がある程度抜けるまで約1.5~2時間ほど院内で休んでいただく必要があります。また、いくつかの注意事項もございますので、ご不安な点やお悩みがある方はぜひ一度、ご相談ください。

女性は妊娠前に親知らず治療を済ませましょう

妊娠中は虫歯歯周病にかかりやすいことをご存知ですか? これはホルモンバランスの変化が原因とされています。このため、親知らず周辺の歯茎が腫れたり、急な痛みを感じるケースも少なくありません。

しかし、妊娠中に親知らずを抜くことは避けたいものです。お腹の赤ちゃんへの影響を考えて、レントゲン撮影、麻酔、内服薬などの使用に制限がかかる可能性があるからです。そのため、余計なリスクを避けるためにも、妊娠前に親知らずを抜いておくことをおすすめします。

親知らずに関するよくある質問

親知らずの問題は、多くの患者さんが抱えるお悩みの一つです。そこで、当院では親知らずに関してよくある質問をまとめました。適切な情報をもとに、ご自身の口腔健康を守るための判断をサポートいたします。
親知らずとは何ですか?
親知らずとは、第三大臼歯と呼ばれる奥歯のことです。通常、人間の口の中で最も遅く生えてくる歯であり、10代後半から20代前半にかけて発育します。時には正常に生えきれない場合もあり、不適切な位置や角度で生えてしまうことがあります。
親知らずの抜歯は必要ですか?
具体的な治療方針は個人の状況によりますが、親知らずが正しく生えずに痛みや感染、歯並びの乱れを引き起こす場合、抜歯が推奨されることがあります。当院では、レントゲン撮影などを通じて詳しい診断を行い、患者さんそれぞれに最適な治療方法をご提案します。
抜歯後のケアについて教えてください。
抜歯後のケアは非常に重要です。まず、出血が続く場合はガーゼを軽く噛んで止血してください。また、術後は刺激物を避けた食事を心がけ、口の中を清潔に保つことが大切です。さらに、定期的に当院へお越しいただき、傷の治り具合を確認しながら適切なケアを受けていただきます。
親知らずの処置にはどんな方法がありますか?
親知らずの状態によって、さまざまな処置があります。外科的抜歯や、単純抜歯など、具体的な治療法は個々のケースに応じて選択されます。患者さんの負担をできるだけ軽減するため、麻酔の使用や術後のフォローアップにも力を入れています。
詳しいご相談や不安な点については、ぜひ当院までお問い合わせください。専門スタッフが丁寧に対応いたします。

初診「個別」相談へのご案内

当院では、患者さんが抱えていらっしゃるお口のお悩みや疑問・不安などにお応えする機会を設けております。どんなことでも構いませんので、私たちにお話ししていただけたらと思います。
ご興味がある方は下記からお問い合わせください。

ご予約・お問い合わせ

048-467-7651

24時間受付中WEB予約

351-0114
埼玉県和光市本町2-6
レインボープラザ3F

副都心線・有楽町線・東武東上線
「和光市」駅南口から徒歩1分

このページの先頭に戻る