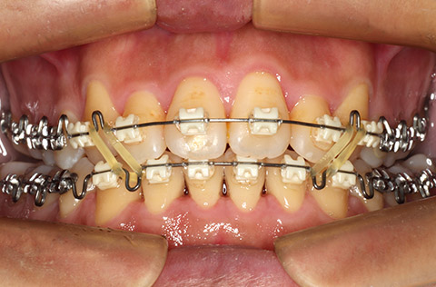
Caries / Perio
その原因は、歯のひびにあり
虫歯/歯周病
虫歯や歯周病は誰でも治せると思われがちですが、実はそうではありません。原因は「歯ぎしり」による「歯のひび」で、そこから菌が侵入して虫歯になります。当院では、歯ぎしりをコントロールして治療を行っています。


ご予約・お問い合わせ048-467-7651
351-0114
埼玉県和光市本町2-6
レインボープラザ3F


「和光市」駅南口から徒歩1分

最大の特長は、世界基準の「オーストリア咬合学」に基づく 治療です。これは、ウィーン大学元教授スラバチェック医師が 開発した、世界的な咬合理論です。 患者様に「お口と心と身体の健康」をお届けします。

Caries / Perio
その原因は、歯のひびにあり
虫歯や歯周病は誰でも治せると思われがちですが、実はそうではありません。原因は「歯ぎしり」による「歯のひび」で、そこから菌が侵入して虫歯になります。当院では、歯ぎしりをコントロールして治療を行っています。

Implant
埋入1,000本以上の実績
インプラントは、実績と信頼で選ぶのが安心です。当院は、22年以上で1,000本以上の埋入実績があり、患者様から高く評価されています。骨が足りない難症例でも、身体に優しいラテラルスリット法で治療可能です。

Deterioration
かみ合わせ、見た目にこだわり
歯がボロボロの方の治療も、当院にお任せください。まずはお口の状態を確認し、悪化の原因を丁寧に究明します。入れ歯もインプラントも、見た目や噛み合わせまで考慮して改善を図ります。

Jaw
原因を究明し、治療で解決
顎関節症の方は、「歯ぎしり・食いしばり」が強く、噛み合わせも非常に悪い状態にあります。当院では、オーストリア咬合学理論に基づき、噛み合わせを理想的な状態へと導きます。


「オーストリア咬合学」に基づく歯科治療
実は、毎日の暮らしの中で、
どんな人でも「歯ぎしり」を行っています。
ストレスをコントロールし、
心の安定を保つ効果があるためです。
歯ぎしりは、
「心が壊れる」のを防ぐ大切な行為ですが、
「歯も壊れて」しまいます。
過度の歯ぎしりは、
歯にひびを生じさせ、
知覚過敏、虫歯、歯周病、歯の欠損を
引き起こします。
歯を壊さないスムーズな
食いしばり・歯ぎしりができるよう、
歯の位置や高さなどを整えていくこと。
これが「オーストリア咬合学」
に基づく、歯科治療です。

ウィーン大学元教授スラバチェック医師が提唱した、世界的に認められた噛み合わせ理論です。この理論では、噛み合わせのズレを精密に分析し、理想的な咬合平面(噛み合わせの基準面)を計算。その上で歯の形や高さを整え、必要に応じて矯正治療も併用します。こうしたアプローチにより、不正咬合の改善を目的とした治療体系が構築されています。

笹尾歯科では、優れた理論である「オーストリア咬合学」を取り入れた治療を実践し、多くの成果をあげています。夜間の歯ぎしりや食いしばりが改善されることで、歯の欠損や歯周病に長年悩まされてきた患者さんも、快適に“噛める”生活を取り戻すことが可能です。
原因を究明し、正しい治療を行います。

院長/歯学博士 笹尾 道昭Michiaki Sasao
インプラント歴22年以上の実績












論より証拠
Results speak for themselves治療の結果が、すべてを物語ります




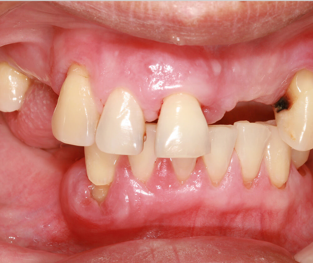
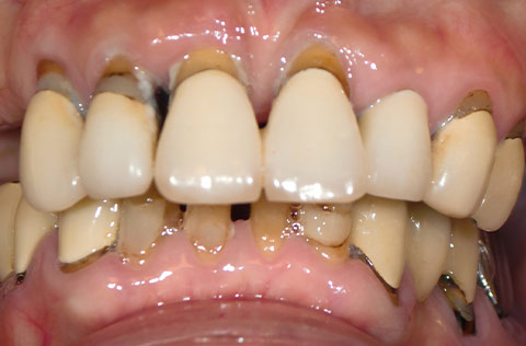
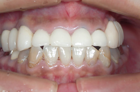
奥歯がなく、前歯は重度の歯周病だった。インプラントを含む包括的治療で、審美性と機能を回復したケース。




上あご前歯の咬耗と、左奥歯が全部欠損しているケース。インプラントを含む包括的治療で、見た目と機能を回復した。




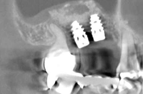
抜歯の6週間後、インプラント埋入と同時に骨造成を行ったケース。じゅうぶんな初期固定が得られた。




他院でインプラント治療を断られたケース。当院の「ラテラルスリット法」で骨造成を行い、インプラントを埋入できた。




オーストリア咬合学を基に、GUMメタルワイヤーとGEAR法で、開口などの骨格性不正咬合を非抜歯で治療できたケース。




ジルコニアの被せ物で、削れてきた6本の前歯を整えたケース。神経を抜かずに治療できた。

可能な限り
「痛みを抑え」「削る量を最小限に」「歯の神経を守る」治療

埼玉県和光市の歯医者「笹尾歯科医院」では、1回の通院で効率的に治療を進められる「短期集中治療」、眠っている間に治療が終わる「睡眠無痛治療」、患者さんが納得できるまで丁寧に説明する「カウンセリングと治療説明」、そして虫歯や歯周病を予防し、毎月240人以上の患者さんに選ばれている「お口のメンテナンス」が高く評価されています。

短期集中治療通常は30分ずつ通院して進める治療を、時間枠を広げて一度にまとめて行います。通院回数を減らせるため、忙しい方や歯科恐怖症の方にも適した治療スタイルです。

睡眠無痛治療点滴で眠っている間に治療を行います。痛みや不安を感じずに治療を受けられるため、恐怖心の強い方や長時間の治療が必要な方に適しています。

納得いくまで説明通常は30分ずつ通院して進める治療を、時間枠を広げて一度にまとめて行います。通院回数を減らせるため、忙しい方や歯科恐怖症の方にも適した治療スタイルです。

メンテナンスお口のメンテナンスで虫歯や歯周病を予防します。笹尾歯科医院では、毎月240人以上の患者さんにお口の健康管理をお任せいただいています。

クレジット、デンタルローン、QRコード決済、電子マネーに対応。

また、「デンタルローン」は最大120回までの分割にも対応しています。
もう「一人」で抱え込まないでください
インプラントや総合治療など、
大きな治療を前に
「本当に自分に合っているのか」
「他の方法はないのか」
と不安に思う方は少なくありません。
私たちは、そんな患者さんに寄り添い、
納得いくまでご相談いただける場を設けています。
無理に治療を勧めることはありません。
安心して話せる場所がある─
それが、私たちの無料相談/
セカンドオピニオンです。

埼玉県和光市の歯医者「笹尾歯科医院」のホームページをご覧いただきありがとうございます。当院では、虫歯治療・神経を守る治療・歯周病治療・根管治療・ボロボロの歯の総合治療・インプラント・入れ歯などの補綴治療をはじめ、大人の矯正、ホワイトニング、審美セラミック治療、金属アレルギー治療、予防歯科、親知らず抜歯、顎関節症や歯ぎしり・食いしばりの治療まで幅広く対応しています。さらに、オーストリア咬合学に基づいた専門的な噛み合わせ治療も行っており、全身の健康を見据えた診療を提供しています。当院は、副都心線・有楽町線・東武東上線「和光市駅」南口から徒歩1分。土曜日も診療しており、地域の皆さまに安心して通っていただける環境を整えています。