患者様の状態・ご希望
「右上の奥歯が取れちゃった」「ほとんど根っこが残っていないみたいなの。」
20年以上メンテナンスにかよってくださっている患者様です。
「私の上あごって上顎洞があって骨が薄いんでしょ」
「左上の奥歯の時はお世話になりました、苦労してオペしていただきました。」
「今回も何か方法がありましたら是非インプラントをお願いしたいのですが」
治療
左上の7番の時は上顎洞を避けて 傾斜埋入をいたしました。 今回は傾斜埋入に必要な骨無く、
サイナスリフトをご提案いたしました。

患者様の感想
「すごく仮歯の時からぴったりしてて、全く違和感がありません。」「よく、腫れるとか 痛くて咬めない
とか友達が通ってる歯医者の話では聞くんですけど、」「先生って本当に神の手ですよね。」
と大変喜んでいただきました。
足掛け一年の治療でしたが、目先の利益にとらわれず、先端医療に必要な時間や経費をきちんと
患者様にお伝えし納得していただくことで今日の喜びがあるのだと実感します。

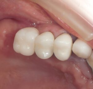
治療内容 右上奥歯欠損サイナスリフトインプラント治療
性別 51歳女性
治療期間 12か月
治療費 43万円~
治療で得られるメリット :歯周病・咬合の改善 認知症の予防 治療の際に起こるリスク・副作用 :シュナイダー膜の損傷に伴う治療の長期化通常の外科処置に伴うリスク





![前歯ができるまでは歯が無いのですか?[60代女性 上あご前歯欠損] 前歯ができるまでは歯が無いのですか?[60代女性 上あご前歯欠損]](https://www.sasao-dental.jp/wp-content/uploads/sites/3/2016/07/CIMG5637-300x225.jpg)







