プラスチックサージェリー・歯肉整形
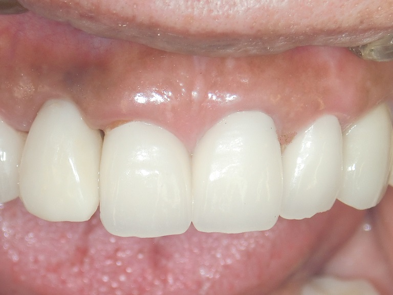
上2番目の歯をインプラント治療をしています(左から2本目) まだプロビジョナル(仮歯)です 最近プラスチックサージェリーという言葉を聞きませんか? 歯肉美容整形オペという意味です もともとプラスチックとは偽物とか仮のとかいう意味であまりよい意味では使いません。 われわれがおこなっているオース…
続きを読む→
2017.5.26
2017年5月の記事一覧
当院では、患者さんが抱えていらっしゃるお口のお悩みや疑問・不安などにお応えする機会を設けております。どんなことでも構いませんので、私たちにお話ししていただけたらと思います。
ご興味がある方は下記からお問い合わせください。
