2018年1月に完治の症例(60代女性前歯インプラ…
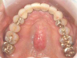
初診時の患者様のお悩み 唾液が少なくなってきて、前歯がグラグラしてきている 歯周病の進行が不安 全体的に治したい。 初診時の所見 夜間のはぎしりに起因すると思われる、咬合の崩壊・重度歯周病。早急にかみ合わせ歯周病の治療が必要。 治療方針 歯周病の改善 …
続きを読む→
2018.2.17
2018年2月の記事一覧
当院では、患者さんが抱えていらっしゃるお口のお悩みや疑問・不安などにお応えする機会を設けております。どんなことでも構いませんので、私たちにお話ししていただけたらと思います。
ご興味がある方は下記からお問い合わせください。
