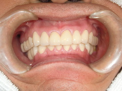
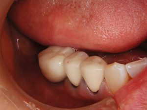
2016年6月にサイナスリフトをおこなった症例(30…
ストレスマネージメントとしての睡眠時のはぎしりは時として、咬合の崩壊をもたらします。 30代であれば、奥歯の再生とスムーズな歯ぎしりの誘導は、精神的にも全身の健康にも及ぼす効果は計り知れません。それほど奥歯の再生は重要です。 上あごの骨が無いところにインプラントを埋入しなければなりません。とる…
続きを読む→
2016.6.22
2016年6月の記事一覧
当院では、患者さんが抱えていらっしゃるお口のお悩みや疑問・不安などにお応えする機会を設けております。どんなことでも構いませんので、私たちにお話ししていただけたらと思います。
ご興味がある方は下記からお問い合わせください。
