


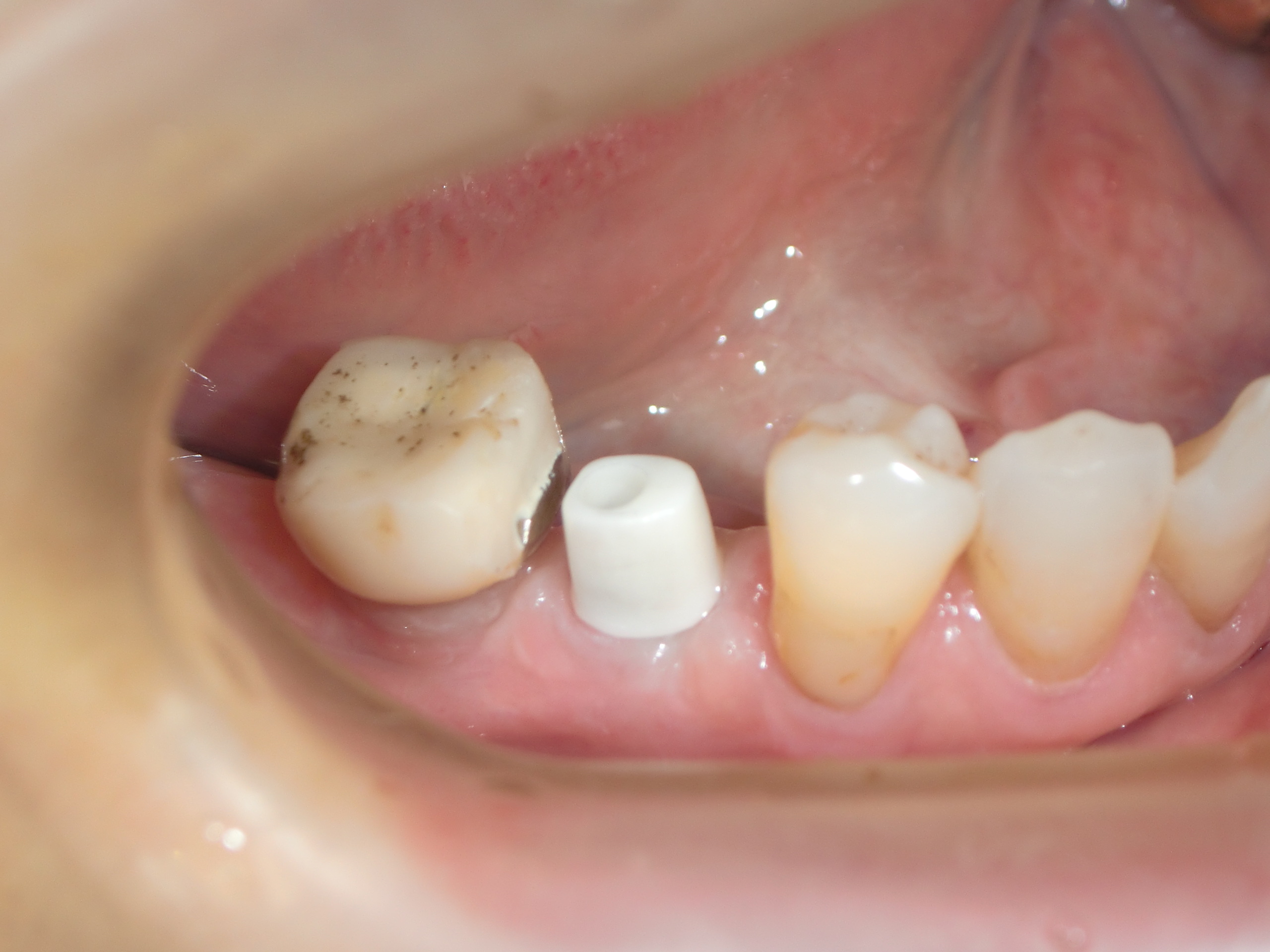
インプラントもどんどん改良されていきます。
第一大臼歯 MK-Ⅱ ソリッドアバット エステニア仕上げ 2007年
第二小臼歯 アクティブ ジルコニアアバット 仮歯 2017年
CADCAMの進歩によるジルコニアの歯科応用はめざましい。
アバットメントにも応用されるようになった。
ジルコニアは、強くて軽くプラークがつきにくい。
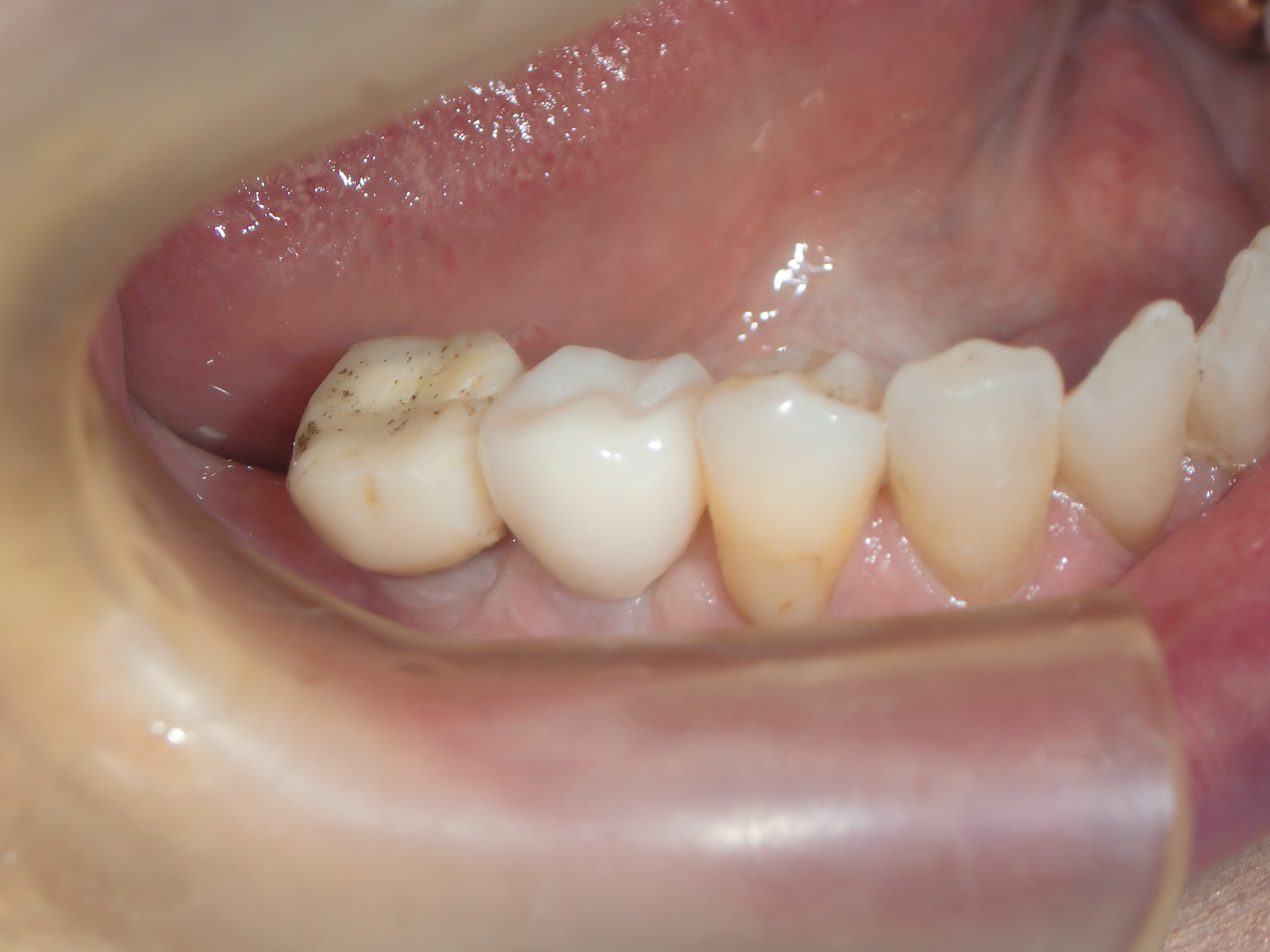
その圧倒的なリアルさは
究極の審美材料といえる。
先進歯科医療は人を幸せにする。
本当に素晴らしいものである。
笹尾
2017年5月9日



インプラントもどんどん改良されていきます。
当院では、患者さんが抱えていらっしゃるお口のお悩みや疑問・不安などにお応えする機会を設けております。どんなことでも構いませんので、私たちにお話ししていただけたらと思います。
ご興味がある方は下記からお問い合わせください。
