
初診時の患者様のお悩み
唾液が少なくなってきて、前歯がグラグラしてきている 歯周病の進行が不安 全体的に治したい。
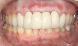
初診時の所見
夜間のはぎしりに起因すると思われる、咬合の崩壊・重度歯周病。早急にかみ合わせ歯周病の治療が必要。
治療方針
歯周病の改善 咬合の改善(スムーズなはぎしりの誘導による咬合の再構築・崩壊の予防)
治療の成功は確信したので、ゴールに共に向かい、治療を成功にさせるためには、治療に伴い常に詳しく説明すること、質問になんでも答えて差し上げ、不安要因の改善につとめることが不可欠であると思った。
治療期間
治療期間 1年 治療費 エステニア11万円 インプラント28万円


![前歯ができるまでは歯が無いのですか?[60代女性 上あご前歯欠損] 前歯ができるまでは歯が無いのですか?[60代女性 上あご前歯欠損]](https://www.sasao-dental.jp/wp-content/uploads/sites/3/2016/07/CIMG5637-300x225.jpg)





